髋关节撞击综合征2-影像学(α角、CE角、8字征、盂唇损伤、软骨损伤)
📜 简介
髋关节撞击综合征根据形态可分为凸轮、钳形或混合型,详情可见上期推文《髋关节撞击综合征1-简介及分型》。本文不做过多介绍,重点讲解其对应影像学表现。

📜一、凸轮畸形(Cam deformity)
-
1. 凸轮畸形是由头颈部偏移减少或形状异常的股骨头引起的头颈交界处出现凸状和骨沉积,最常见于前上方区域 -
2. 这类异常骨质大约在青春发育高峰期逐渐产生并发展,在生长板闭合时骨质发育成熟它限制了髋部屈曲的前间隙,使运动能力减少并导致疼痛。随着病程的延长,反复撞击可导致关节软骨进行性损伤,使软骨与软骨下骨层分离,并引起疼痛性机械类症状。[1] -
3. 凸轮撞击会对邻近髋臼唇的髋臼边缘关节软骨造成过大的剪切力。因此,该区域软骨受损会造成盂唇剥离——而盂唇的作用正是增加髋关节的深度 -
4. 凸轮病变最常限制的髋关节运动包括屈曲、内旋和内收 -
5. 多见于年轻的运动型男性 -
6. 主要表现为股骨头颈交界区存在异常的骨性隆起,髋关节内旋或屈曲活动时发生异常碰撞、挤压,对关节软骨与髋臼盂唇产生剪切作用力,引起髓白孟唇撕裂和关节软骨损伤,其中髋臼软骨的损伤以髋臼前上部较为常见[2]

1.α 角
-
• α角的测量方法:以股骨头中心点O为圆心、股骨头最大半径r画圆,股骨头颈交界区前方骨皮质与这个圆的交点(A点)与股骨头中心点O的连线与股骨颈中轴线的夹角即为α角。[2] -
• α 角可用于计算凸轮畸形严重程度,α角越大表示股骨头颈交界处突出越严重,越容易发生股骨头颈部与髋臼盂唇的撞击,增加患髓关节骨性关节炎的风险。[2]


-
• 然而,牛津共识[4] 中给的α角则在不同的视图。

2.偏心距(offset):
-
• 在髋关节侧位像中测量股骨头前缘和股骨颈前缘的距离为股骨头颈偏心距,正常者约为11.6mm;偏心距<10mm时提示存在异常,偏心距<7.2mm可为诊断凸轮型FAI。偏心距的测量方法:偏心距是在股骨近端轴位X线片上经过股骨颈前缘的切线与经过股骨头前缘切线之间的距离,正常值为11.6mm,FAI患者偏心距缩短,<7.2mm。[2]
📜二、钳形畸形(Pincer deformity)
-
• 钳形畸形(Pincer deformity)是指髋臼过度覆盖股骨头,这可能继发于可能继发于髋臼过深(coxa profunda)或髋臼后倾(acetabular retroversion)。 -
• 钳状病变则多见于体力充沛的中年女性
A. 髋臼过深
-
• 髋臼过度覆盖,主要表现为髋臼缘的骨性增生。[5] • 外侧中心边缘角(lateral central-edge angles,LCEA)可用于计算钳形病变畸形严重程度。
1.中心边缘角(CE角)
-
• 髋关节外侧CE角(lateral center-edge angle,LCEA或 center edge angle of Wiberg)为通过股骨头中心垂线与股骨头中心至髋臼外上缘连线之间的夹角,反映了骨性髋臼对股骨头外上部的覆盖程度。正常范围为25°~35°。若CE角超过39°应考虑存在过度覆盖[2]

在骨盆前后位X线片上,C点定义为股骨头的中心,E点为髋臼外侧缘。C点与E点的连线和与过C点垂线之间的夹角即为LCEA。正常值:>25°,<20°即可诊断髋关节发育不良。若>39°则提示髋过度覆盖。[2]
2.髋臼指数(acetabular index,AI)
-
• 指在骨盆正位片上双侧Y形软骨连线与髋臼内壁的交点和髋臼外上缘的连线与Y形软骨连线之间的夹角,亦可评估髋臼覆盖程度,正常AI为正值,当AI为0或负值则提示髋臼过深(图5-1-10)。[2]

B. 髋臼后倾
-
• 髋臼后倾, 正常情况下髋臼开口朝前外下方,后倾时髋臼缘在前上方异常突出,像一个“挂钩”或“嘴唇”一样覆盖过多。[5]
1.髋臼前倾角
-

• 正常情况下髋臼应该向前倾斜10-25°(髋臼前倾角),如果倾斜角度小于10°,称之为髋臼后倾。髋臼后倾引起的髋部容易引起前部不适。

-
• 《运动医学影像诊断学》[2]中则提到可以通过成角判断,具体如下:

2. 8字征
倾斜程度主要是以髋臼前后壁的解剖关系来衡量。在骨盆前后位片上,正常髋臼前后壁边缘投影线呈不相交的“人”字形。当髋臼前缘线位于髓臼后缘线外侧即为交叉征阳性,提示髋臼前方过度覆盖;如髓臼后壁缘位于股骨头中心的外侧即为后壁征阳性,提示髋臼后壁过度覆盖;当髋臼窝线位于髂坐线内侧,提示髓臼过深。[2]

📜三、继发性软组织损伤
1.盂唇损伤
-

• 盂唇的钟面定位: -
• 髋臼分为象限: 3点钟在前,9点钟在后,12点钟在上(髋臼顶点)

盂唇的钟面定位[6]
-
• 髋臼盂唇损伤机制: -
• 髋臼盂唇为附着于髋臼边缘的纤维软骨结构,由I型胶原纤维素构成,增大髋臼的深度和覆盖范围,起到润滑关节、分担压力、吸收冲击力的作用。盂唇损伤导致髋关节密封性能破坏,关节内负压消失,关节液润滑作用降低,加重了关节炎的发展。FAI是引起髋臼盂唇损伤的常见原因。髋臼盂唇前方区域相比其他区域血管少,血供相对不足,自我修复能力较差,更容易发生退变和撕裂。股骨头前方没有骨的约束,主要依靠盂唇、关节囊及韧带来保持稳定,因此前盂唇受到比其他部位更大的压力,是FAI的主要损伤部位。[2] -
• 盂唇损伤多见于髋臼前上象限 (12 点至 3 点钟方向 ),可以是盂唇的撕裂 ( 从 髋臼缘剥离 )、磨损、纤维化 ( 质地变硬 )、囊肿形成或钙化。在凸轮型撞击中,盂唇常被凸轮畸形从髋臼缘掀 起或挤伤;在钳型撞击中,盂唇则被反复挤压碾挫[5] -
• 在MRI平扫图像上,盂唇撕裂表现为盂唇内出现线样高信号,达关节面或关节囊面。髋臼盂唇撕裂常伴有盂唇退变及盂唇旁囊肿形成。髋臼盂唇退变表现为髋臼盂唇增厚或体积增大,表面不光滑,盂唇内可见稍高信号,多见于盂唇基底部。盂唇旁囊肿位于髋臼周围软组织内,多位于髋臼外上方或前上方,呈T1WI低、T₂WI高信号,边界清楚。髋关节MRA对于评价FAI髋臼盂唇损伤的效果优于常规MRI平扫检查。[2]

不同程度的盂唇损伤[6]
2. 软骨损伤[5]
-
• 髋臼侧软骨损伤:局部软骨软化、毛糙。 -
• 软骨分层或瓣状撕裂:典型的凸轮型撞击损伤。当股骨头的骨性隆起挤入时,会将髋臼软骨从深处的骨床上“撬起”, 形成像地毯被推起一样的波浪征或软骨瓣。 -
• 全层软骨缺损:严重时软骨完全剥脱,暴露出下方的骨质 ( 象牙化 )。 -
• 股骨头侧软骨损伤:多见于凸轮畸形区域的边缘,由于与髋臼缘异常接触导致。 -
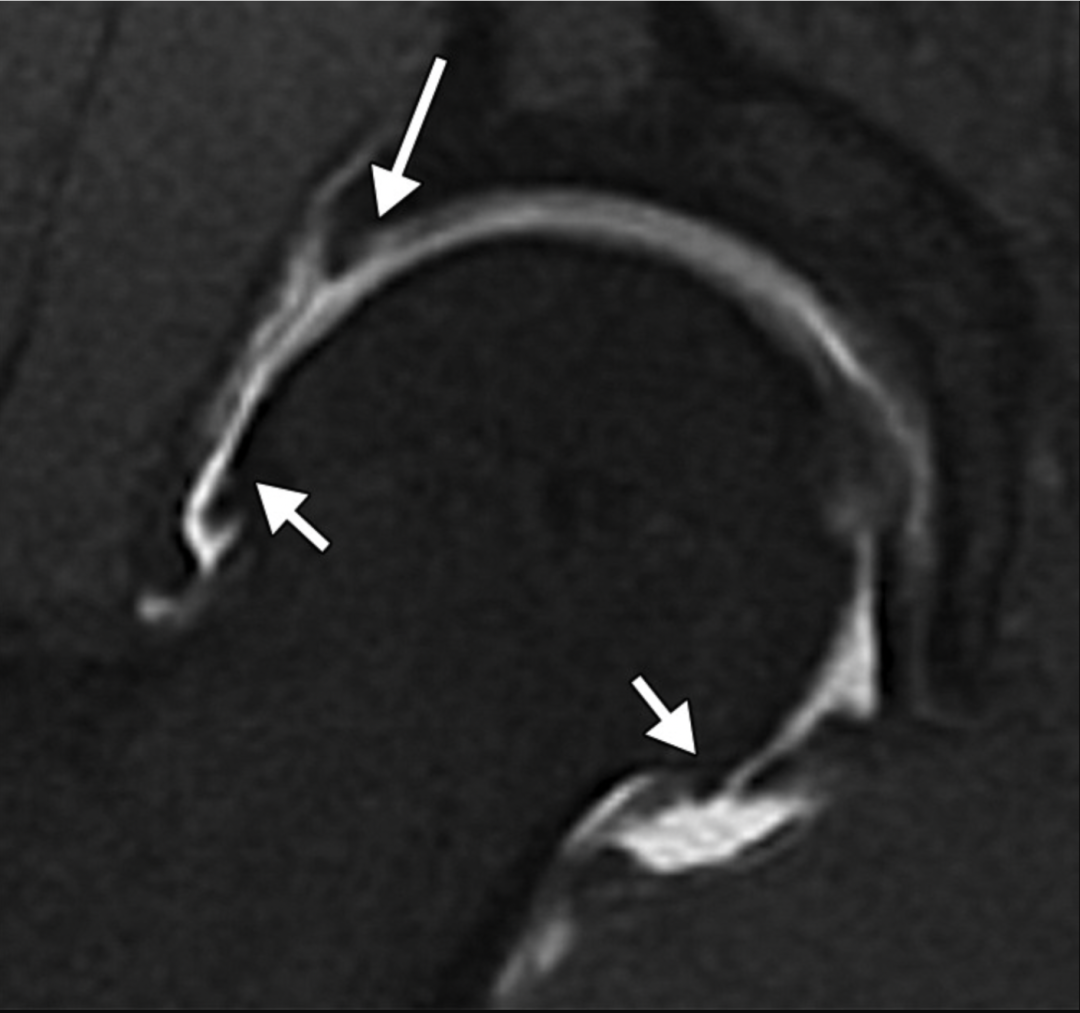
• 在钳型撞击中,股骨头后下方可能出现对冲性软骨损伤

40岁男性右髋磁共振关节造影诊断为FAI。冠状面T1加权:显示髋臼处有额外的软骨分层(长箭头)和边缘骨赘(短箭头)。[7]

55岁FAI男性,软骨脱层:3T磁共振矢状位中间加权脂肪饱和快速自旋回波(FSE)图像显示,髋臼处软骨异常,软骨下骨区域出现高信号强度,且该区域表面覆盖有一层较暗的低信号软骨(箭头所示)。[7]
参考资料:
[1] 查尔斯·E.詹加拉/ 罗伯特·C.曼斯克. 临床骨科康复:团队合作诊疗方案. 天津科技翻译出版公司; 2024.
[2] 程晓光,于爱红主编. 运动医学影像诊断学.髋关节分册. 科学出版社; 2021.
[3] Fortier LM, Popovsky D, Durci MM, Norwood H, Sherman WF, Kaye AD. An Updated Review of Femoroacetabular Impingement Syndrome. Orthop Rev. 2022;14(3):37513. doi:10.52965/001c.37513
[4] Dijkstra HP, et al. Oxford consensus on primary cam morphology and femoroacetabular impingement syndrome: part 1definitions, terminology, taxonomy and imaging outcomes. Br J Sports Med 2023;57:325–341. doi:10.1136/bjsports-2022-106085
[5] 房凌宇. MRI单髋关节检查评估股骨髋臼撞击综合征软骨及盂唇损伤的价值与影像学特征分析. 临床研究. 2026;34(2):130-134.
[6] https://pubs.rsna.org/doi/full/10.1148/rg.230144
[7]https://www.ajronline.org/doi/10.2214/AJR.15.14463?doi=10.2214/AJR.15.14463
图片参考自网络及以上资料

声明:本文为原创文章,版权归合民康复所有,欢迎分享本文,转载请保留出处!

